- 血管介入手术模拟教学训练系统
 - • 货号:
 - • 型号规格:JD/ANGIO-Mentor
 - • 价格:询价
 - • 品牌:JIADA 嘉大
 - • 供货总量:大量供应
 - • 发货期限:1星期
 - • 有效期至:长期有效
 - • 所在地:上海
 
产品介绍
ANGIO-Mentor是用来对血管介入手术进行综合培训的模拟手术教学设备。它可以模拟血管介入治疗中所遇到的各种情况,学员不但可以学习到各种手术技能,还可以进行完整的手术操作。本产品采用了独特的技术—模拟成像技术,使荧光透视下的人体解剖图像和医疗器械可视化;触觉感知技术,令操作模拟导管和血管造影装置的视野和感觉与真实手术相同。
通过使用该产品,学员可以提高经皮血管内手术所需的各种技能,例如:针对性血管造影、血管成形术、血栓溶剂治疗等,另外学员还可以学习如何处理各种并发症。
软件配置:
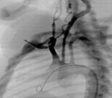
颈动脉介入手术模块
可练习颈动脉支架手术的完整过程:造影诊断、导丝通过、导引导管的放置、保护伞的放置、预扩张、自扩张支架放置、后扩张、以及再造影等。


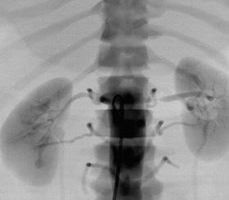
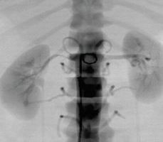
肾动脉介入手术模块
可练习肾动脉支架手术的完整过程:造影诊断、导丝通过、导引导管的放置、保护伞的放置、预扩张、自扩张支架放置、后扩张、以及再造影等


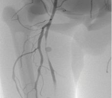
股浅动脉介入手术模块
可练习股浅动脉支架手术的完整过程:造影诊断、导丝通过、导引导管的放置、预扩张、自扩张支架放置、后扩张、以及再造影等


髂动脉介入手术模块
可练习髂动脉支架手术的完整过程:造影诊断、导丝通过、导引导管的放置、预扩张、自扩张支架放置、后扩张、以及再造影等


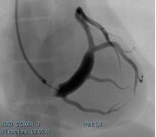
冠状动脉介入手术模块
可练习冠状动脉支架手术的完整过程:造影诊断、导丝通过、导引导管的放置、预扩张、自扩张支架放置、后扩张、以及再造影等


颅内血管介入手术模块
训练医生进行颅内动脉瘤可脱弹簧圈栓塞术、颅内动脉狭窄治疗等手术操作


电生理基本技巧模块
学员可在虚拟的、无解剖结构的环境以及(荧光镜)环境中学习并掌握主要手术技巧


电生理——心脏节律管理模块
来训练医生使用介入的方法治疗心律失常和置入血流动力学监测设备的模块


电生理—房间隔穿刺模块
练习选择最佳的穿刺位置、正确安全的进行穿刺、使用不同消融导管进行肺静脉隔离等操作


经皮主动脉瓣置换术
训练经皮主动脉瓣置换人工瓣膜手术操作的手术全程


腹主动脉瘤修复手术模块
可练习主动脉造影、主干精确开伞、对侧腿使用腹膜支架、支架打开、球囊扩张等操作


胸主动脉腔内修复术
训练学员使用支架移植物以及支架移植物气囊进行胸主动脉腔内修复术


周围性栓塞处理模块
训练学员在不同情境中的栓塞处理,如,肾动脉瘤,动静脉瘘,动静脉畸形,消化道出血,子宫肌瘤动脉,外伤、和AAA支架置入术内漏前/后


BTK(膝下)血管介入
模拟膝下血管中的慢性闭塞病变,训练学员进行多种常见的血管内血管重建方法,包括掌握顺行/换向以及逆行技巧


CT血管重建模块(PROCEDURE)
CT血管重建模块是可以将真实临床患者的CT数据以DICOM数据格式传输到血管介入模拟器(ANGIO Mentor)中,通过专业软件PROcedure Rehearsal Studio的处理,可以重建临床患者的心血管循环系统,显示患者的病变部位, 并在给患者手术之前在模拟器上进行预手术,构建临床手术计划,减少病人的手术风险。




